logo

会员登录

用户登录 评委登录
一周内自动登录 建议在公共电脑上取消此选项
一周内自动登录 建议在公共电脑上取消此选项
依据工信部新规要求,运营商部署做出调整,现部分用户无法获取短信验证码(移动运营商为主)。如遇收不到短信验证码情况,请更换其他手机号(联通、电信)尝试,有疑问请电话咨询:18912606905、18136127515。
一周内自动登录 建议在公共电脑上取消此选项
手机验证码登录 还未账号?立即注册

会员注册

*依据工信部新规要求,运营商部署做出调整,现部分用户无法获取短信验证码(移动运营商为主)。如遇收不到短信验证码情况,请更换其他手机号(联通、电信)尝试,有疑问请电话咨询:18912606905、18136127515。
已有账号?
医械创新资讯
医械创新资讯

3.75亿融资!创新医疗科技公司完成C轮

日期:2025-12-03
浏览量:2363

2025年12月1日,美国医疗科技公司Akura Medical(隶属 Shifamed 投资组合公司)宣布完成 5300 万美元(约合人民币3.75亿) C 轮融资。本轮融资由卡塔尔投资局(Qatar Investment Authority,QIA)领投,现有投资者继续参投,资金将用于推动公司核心产品 Katana 血栓取栓系统和辅助软件 NavIQ 的临床研究、注册申报和全球化市场拓展,并计划在卡塔尔建立合资机构以支持国际化布局。


# 血栓治疗:从抗凝到机械干预,市场需求日益紧迫

静脉血栓栓塞 (VTE) 包括深静脉血栓 (DVT) 与肺栓塞 (PE),是全球范围内严重的心血管公共卫生问题。据统计,每年美国约有数十万例 VTE 事件,并导致大量病死与致残。传统治疗手段主要依赖抗凝或溶栓,但对于急性、大量栓塞或对药物治疗无效的患者来说,疗效有限,且风险不低。

近年来,随着介入方法和导管技术的发展,机械性血栓切除 (thrombectomy) 成为一种重要补充方案。但现有装置常面临导管尺寸大、操作复杂、对栓子形态适应差、取栓效率不稳定等问题。如何在保证安全性的同时,提高取栓效率、减少导管更换、加快恢复,是业内亟待突破的难题。

在此背景下,对于更高效、更可控、更普适的血栓切除系统需求正在快速增长,也正成为投资与研究的热点领域。


# 公司简介:专注 VTE 治疗的 Akura Medical

图片

Akura Medical 是一家专注于静/动脉血栓栓塞 (VTE) 治疗方案的医疗技术公司,致力于通过创新器械推动血栓疾病治疗方式变革。其旗舰产品为 Katana 血栓取栓系统,目标是为急性肺栓塞 (PE) 和其他血栓相关急症患者提供更安全、高效、智能化的机械切除解决方案。

作为一家专注卷取栓介入设备研发的公司,Akura Medical 承诺通过技术创新、临床研究和产品优化,改善血栓患者的救治效果与治疗体验。


# 核心产品:Katana血栓取栓系统

设计理念与技术优势

Katana 系统是一套低剖面 (low-profile) 的双层鞘管式导管设计+ 引流 /切除组合平台,专为处理多种形态血栓 (无论是大块、粘稠还是柔软碎栓) 而设计。其主要技术亮点包括:

Katana Thrombectomy System - Akura Medical
  • 可双向操作、易通道系统:其双层鞘管式导管设计便于在复杂血管结构中导航,可简化导管交换过程,并支持对比剂注入,无需频繁更换导管,从而减少手术复杂性与并发风险。

图片
  • 高速度液流:系统通过高速盐水射流来溶解 /粉碎栓子,适配不同栓子形态,提高对血栓的破碎和移除效率。

  • 实时血流 / 血管压力监测:装备传感器,可在手术过程中实时监测肺动脉压力变化,为介入医生提供即时反馈,有助于判断是否已成功清除栓子,降低“残栓”风险。

  • Sentinel 控制台:界面可实时显示栓子接触与清除进展、血流变化及失血估算等关键参数,使医生在术中能直观看到操作效果与生理反馈,从而提升过程可控性与可视化水平,减少对经验判断的依赖,增强操作的标准化与安全性。


临床进展与试验

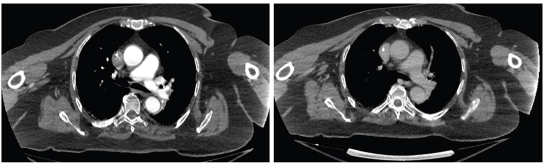
  • Akura Medical 已于 2023 年启动首批“人体首例”(first-in-human)试验,用 Katana 系统治疗急性肺栓塞患者。初步数据显示,在数例患者中,手术后 48 小时通过影像学对比,右室/左室 (RV/LV) 比率明显恢复,血栓负荷显著降低,且未观察到重大不良事件。该结果被视为机械性取栓器械在 PE 治疗中的有力证明。

图片
图片

术后48小时显示血栓已溶解

  • 2024 年 11 月,美国食品药品监督管理局 (FDA) 批准其开展大规模多中心试验 — QUADRA‑PE Study (NCT06672510)预计覆盖全球 26 个试点、约 118 名急性 PE 患者,并于2025年2月纳入第一例患者。该研究旨在评估 Katana 系统在临床现实中的安全性与有效性,其主要终点为术后 48 小时 RV/LV 比值改善与重大不良事件发生率。

图片
  • 与此同时,公司还在 巴西与多米尼加共和国开展 可行性研究(Feasibility Study, Clinical Trial ID: NCT06152341)旨在评估设备在不同患者群体与血管解剖条件下的可操作性、取栓效率及安全性能。

图片
  • 如果试验结果理想,Katana 系统有望成为首批被广泛用于 PE 和 VTE 治疗的现代机械取栓平台之一。


# 结语

Acura Medical 的这次融资与产品更新,标志着机械血栓介入治疗进入一个新的发展阶段 :从设备原型与早期临床,到即将迈入规模化、全球化商业化。

如果 Katana 系统和 NavIQ 软件能够通过临床验证并获得监管批准,它们不仅能为难治性血栓 / 急性 PE 患者提供新的救治方案,也可能推动血栓治疗从以药物为主、辅助介入为辅的模式,向以机械介入 + 智能方案为主的新 paradigm 转变。对患者、医生乃至整个血栓治疗体系,都有望带来深远影响。






▲内容来源:思宇MedTech
转载请标注以上来源

声明:本文仅作信息传递之目的,仅供参考。本文不对投资及治疗构成任何建议,请谨慎甄别。如涉及作品内容、版权和其它问题,为保障双方权益,请与我们联系,我们将立即处理。如有平台转载本篇文章,须自行对该篇文章负责,医疗器械创新网不对转载引起的二次传播负责。

图片

往期推荐

财务造假,医械龙头企业退市倒计时

迈瑞,再次出手!

奥林巴斯,新品

苏州这一械企,拿下近亿元融资!

图片

返回列表